Все прививки согласно Национальному календарю прививок и под эпидпоказаниям.

Мы все мечтаем о красивой голливудской улыбке, и с появлением виниров на российском рынке белоснежная улыбка теперь доступна каждому.
Уже сегодня в стоматологическом отделении клиники «Альтамед+» в Одинцово можно установить одни из лучших виниров Е-МАХ.
Немецкие виниры последнего поколения Е-МАХ (Е-МАКС) – это специальные тонкие ортопедические пластины, производимые компанией Ivoclar Vivadent, которые применяются в современной стоматологии для восстановления зубов и устранения недостатков в зоне улыбки.
Инновационные керамические накладки – виниры Е-МАКС – отвечают самым высоким требованиям качества и эстетики международных стандартов в стоматологии.
Материалом для изготовления виниров Е-МАХ служит силикатная стеклокерамика, которая обрабатывается методом прессования, в результате чего получается идеально гладкая поверхность пластины, отсутствие микропор, что делает виниры не только суперпрочными, но и исключает возможность размножения микробактерий. Это способствует профилактике стоматологических заболеваний и облегчает уход.
Толщина виниров Е-МАХ не больше, чем у контактной линзы, что позволяет в ряде случаев избежать обточки зубов, при этом это никак не влияет на их прочность и высокое качество. Они фиксируются на поверхности зубов с помощью специального состава, который не только идеально скрепляет пластины, но и содержит противокариесные компоненты. Виниры имеют широкий спектр оттенков, устанавливаются с помощью 3D-моделирования, обеспечивающего высокую точность и максимальный комфорт. Они гипоаллергенны, исключают разрушение десны и не окисляются.
Однако, к установке виниров Е-МАХ существуют и противопоказания: глубокий кариес и крупные пломбы в зоне улыбки, пародонтоз, бруксизм и другие. Об этом на консультации в клинике «Альтамед+» в Одинцово вам расскажут наши высокопрофессиональные врачи – стоматологи и ортопеды, которые имеют многолетнюю подтвержденную практику и сертификаты для работы с системой реставрации Е-МАХ.
Сначала моделируются восковые пластины, затем керамические заготовки помещаются в печь, где при процессе прессования они должны приобрести форму восковых слепков. Далее зубной техник обрабатывает вручную внутреннюю поверхность пластины, чтобы обеспечить максимально надежную и прочную фиксацию. В конце пластинки покрываются специальным лаком для идеальной гладкости и красивого естественного блеска.
После первоначальной консультации врач определяет, нужно ли проводить предварительное лечение, есть ли противопоказания к этому виду реставрации. Затем он проводит проводит санацию ротовой полости и профессиональную чистку, в случае необходимости проводит обточку зубов в зависимости от толщины пластины винира. Далее делаются слепки и устанавливаются временные накладки на зубы, а в зуботехнической лаборатории изготавливаются постоянные виниры. Когда они готовы, врач снимает временные накладки, проводит необходимые манипуляции по обработке зубов и занимается фиксацией постоянных виниров на зубы с помощью специального клея. Ортопед обязательно обеспечивает проверку качества прикуса – подгоняет накладку для максимально комфортного контакта с соседними зубами и другой челюстью.
Если вы хотите стать обладателем голливудской улыбки, ждем вас в стоматологическом отделении клиники «Альтамед+» в Одинцово. Мы заботимся о вашем здоровье и красоте!
Услуги: Виниры E-max, Зубные коронки
Врачи: Арзуманян Гарик Арамаисович
Услуги: Зубные коронки, Виниры E-max
Врачи: Арзуманян Гарик Арамаисович
Услуги: Брекеты, Виниры E-max
Врачи: Нерсисян Ваагн Ашотович, Строчек (Тараткина) Дарья Сергеевна
Услуги: Лечение зубов, Виниры E-max
Врачи: Арзуманян Гарик Арамаисович
Услуги: Виниры E-max
Врачи: Арзуманян Гарик Арамаисович
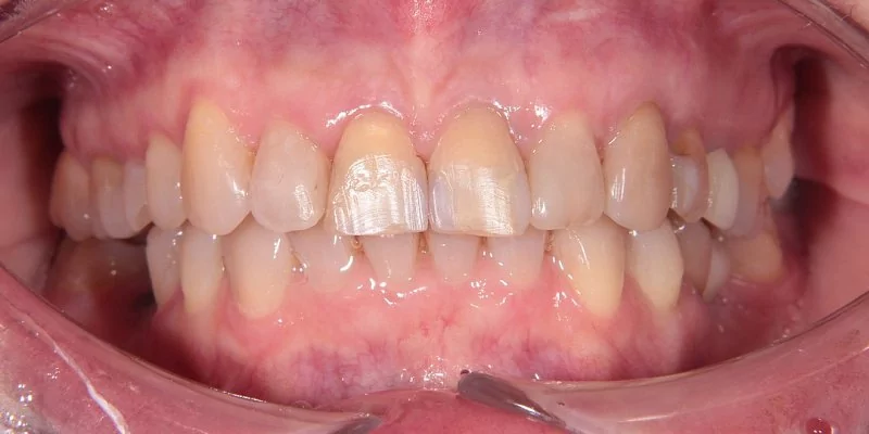
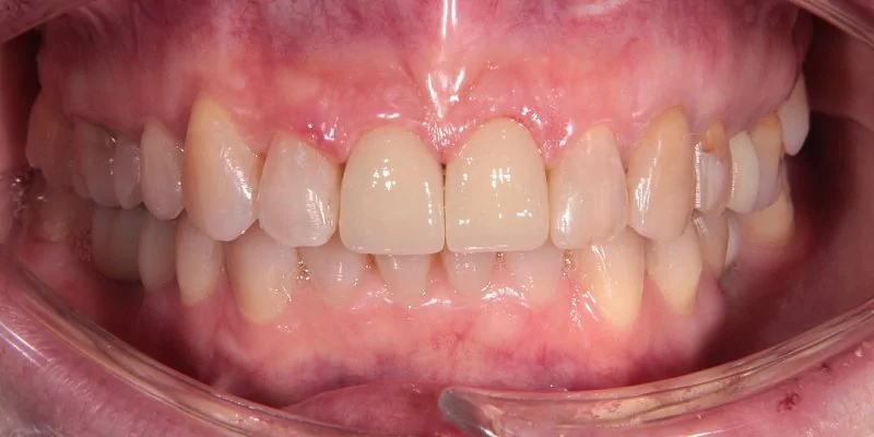
Жалобы на эстетический дефект. установлены керамические виниры без препарирования зубов 1.2, 2.2
Врач: Арзуманян Гарик АрамаисовичУслуги: Виниры E-max
Услуги: Виниры E-max
Врачи: Арзуманян Гарик Арамаисович